INFLAMACIÓN MIXTA SEVERA CON PÉRDIDA DEL TECHO DEL CANAL MANDIBULAR: UNA

VARIACIÓN DE LAS INFECCIONES ODONTOGENICAS ASOCIADA A PERICORONARITIS

Severe mixed inflammation with loss of the mandibular canal roof: a variation in odontogenic infections associated with pericoronaritis

Doi: https://doi.org/10.47606/ACVEN/MV0028

 

Zulay Palima González1*

https://orcid.org/0000-0002-0959-9879

 

 

 

 

 

 

 

 

 

 

 

 

 

Recibido: 20 de abril de 2020                                                                                    Aceptado: 25 de julio de 2020

 

RESUMEN

Introducción: Las infecciones cuando pasan a ser crónicas y recurrentes como puede ser el caso de una pericoronaritis medicada, mas no tratada una y otra vez, traen como consecuencia resistencia y proliferación bacteriana. Se da el caso de formaciones de tejidos patológicos e imágenes radiográficas que orientan a posibles diagnósticos, que hasta no ser tratadas por medio de diferentes técnicas como la marsupialización o enucleación, con el complemento de la biopsia incisional o excisional que determina el tipo de  patología presente. Esto lleva al objetivo general: determinar el tipo de lesión patológica presente en el ángulo y cuerpo mandibular asociado a la ud: 48 Objetivos específicos: Identificar la lesión patológica  presente en Angulo y parte del cuerpo mandibular asociada a la ud: 48. Muestra: paciente de 30 años de edad, masculino, caso clínico de una inflamación mixta severa,  la clínica y sus hallazgos radiográficos, se sospechaba de un posible queratoquiste, quiste dentígeros o quiste odontogénico ortoqueratinizado, extracción dental ud: 48, retiro y legrado del tejido circundante, toma de biopsia excisional, exámenes de laboratorio, ortopantomografia, tomografía, fotografías clínicas. Metodología: paradigma positivista, enfoque cuantitativo, diseño no experimental. Modalidad de campo, tipo estudio de caso. La entrevista, el instrumento guión de las preguntas para la historia clínica fueron la técnica y el instrumento. Resultados: inflamación mixta severa, lo cual procede de una infección asociada a pericoronaritis recurrente, esto mediante resultado histopatológico. Conclusiones: el estudio histopatológico es quien determina el diagnóstico final a pesar que la clínica induzca a posibles diagnósticos diferenciales.

 

Palabras clave: Infecciones odontogénicas; Inflamación mixta severa; queratoquiste; ameloblastoma, pericoronaritis; biopsia excisional. 

 

__________

1.     Facultad de odontología de la Universidad Nacional Experimental Rómulo Gallego (UNERG)/ Doctorante de la Universidad Pedagógica Experimental Libertador

(UPEL) Venezuela 

        Autor de correspondencia: zulaypalima@gmail.com

 

 

ABSTRACT

Introduction: When infections become chronic and recurrent, such as a medicated pericoronitis, but not treated repeatedly, they result in resistance and bacterial proliferation. There is the case of pathological tissue formations and radiographic images that guide possible diagnoses, which until they are not treated by means of different techniques such as marsupialization or enucleation, with the complement of the incitional or exicional biopsy that determines the type of pathology present. This leads to the general objective: to determine the type of pathological lesion present in the mandibular angle and body associated with ud: 48. Specific objectives: Identify the pathological lesion present in Angle and part of the mandibular body associated with ud: 48. Sample: 30-year-old male patient, clinical case of severe mixed inflammation, clinical symptoms and radiographic findings, suspected of a possible keratocyst, dentigerous cyst or orthokeratinized odontogenic cyst, tooth extraction ud: 48, removal and curettage of the surrounding tissue, exicional biopsy, laboratory tests, orthopantomography, tomography, clinical photographs. Methodology: positivist paradigm, quantitative approach, nonexperimental design. Field modality, case study type. The interview, the instrument script the questions for the clinical history were the technique and the instrument. Results: severe mixed inflammation, which comes from an infection associated with recurrent pericoronitis, this through histopathological result. Conclusions: the histopathological study is the one who determines the final diagnosis, despite the fact that the symptoms lead to possible differential diagnoses.

 

Keywords: Odontogenic infections; Severe mixed inflammation; keratocyst; ameloblastoma, pericoronitis; exitional biopsy.

 

  

INTRODUCCION  

“Los tipos de lesiones y enfermedades que afectan la cavidad bucal suelen ser muy amplias, algunas son benignas y otras, en el peor de los casos, de tipo malignas. Cada una presenta características propias que dependiendo de las mismas también pueden cursar con características semejantes. De allí la importancia de la clínica para elaborar los diagnósticos diferenciales y al final de ello solo el estudio histopatológico es el que tiene la última palabra y el diagnóstico definitivo. Su ubicación suele ser en tejidos blandos, tejidos duros, en combinación de ambos. Anatómicamente se ubican en diferentes partes de cara y cuello, donde de acuerdo a la gravedad de la misma se puede llegar a la hospitalización del paciente, se puede hacer la remoción de la lesión en consultorios o en quirófanos; todo dependerá de una serie de factores etiológicos y comportamiento clínico de la lesión” (1). Los hallazgos radiográficos ocasionales, asociados a signos y síntomas clínicos son señales que deben alertar al profesional de la salud bucal. En este caso el cirujano bucal, quien atiende de primera mano al paciente que acude a la consulta con odontalgia espontánea asociada a la Ud.: 48. Se genera una serie de diagnósticos presuntivos, como hace referencia el autor el estudio histopatológico es quien determina el diagnóstico definitivo. Sin embargo, la clínica orienta a tomar decisiones acerca de un tratamiento conservador o definitivo, basado en estudios previos que reportan cual es el tratamiento idóneo para el paciente.

 

Es por ello que dicha investigación tiene como objetivos: Diagnosticar la posible patología presente en Angulo y parte del cuerpo mandibular asociada a la ud: 48. Y, conocer la lesión patológica presente en Angulo y parte del cuerpo mandibular asociada a la ud: 48. 3. Analizar estudio histopatológico del tejido circundante a la ud: 48.  

 

Las infecciones recurrentes de larga data, asociada a los 3ros molares, pueden o no cursar con pericoronaritis. Entre sus síntomas se encuentra odontalgia, inflamación, rubor, exudado purulento e incluso puede existir fiebre. Resulta pertinente esta investigación puesto que conlleva a una clínica poco usual, cursando con signos característicos de un posible Queratoquiste o ameloblastoma.  El estudio histopatológico arrojó inflamación mixta severa, por las características del tejido retirado. Es de relevancia ya que aporta imágenes, ideas y una revisión bibliográfica de todos los posibles diagnósticos diferenciales. También tiene importancia para la comunidad educativa y científica asociada con la cirugía bucal, patología bucal y la periodontologia, la limitación investigaciones especificas con el diagnóstico definitivo no se encontraron, pero sí de todos los diagnósticos presuntivos y como se debe hacer el abordaje de cada uno.

 

El resultado histopatológico no concuerda con el diagnóstico presuntivo de la lesión asociado a la clínica del paciente. Sobre dicho resultado hay muy poca documentación y estudios publicados. Es por ello que se desarrollan los posibles diagnósticos presuntivos a manera de revisión bibliográfica y poder comparar las características clínicas con la que presentaba el paciente al momento de la consulta odontológica.

  

DESARROLLO

El inicio de muchas infecciones y afecciones odontogénicas comienzan por el proceso de la pericoronaritis. Esta cursa con odontalgia, inflamación y exudado purulento. Al respecto se define como “ la erupción no completada de una pieza dental puede favorecer la proliferación bacteriana, en el espacio comprendido entre la corona del diente semiretenidos y los tejidos blandos que lo rodean, para extenderse, posteriormente, en las formas más agresivas a los tejidos blandos adyacentes” (2) los dientes impactados o retenidos por causas anatómicas o mecánicas pueden dar también origen a diferentes quistes entre ellos “.El quiste dentígeros es el segundo en frecuencia de aparición después del quiste radicular y casi siempre está asociado con la corona de un diente permanente normal, retenido y no erupcionados; aparece rara vez en los primarios”(3-4) su prevalencia “Se presenta más comúnmente en pacientes del sexo masculino, en la segunda y la tercera décadas de la vida y en un 70-75% en el maxilar inferior. Aparece, según el orden de frecuencia, asociado a los terceros molares inferiores, seguido por los caninos superiores. Sus síntomas son escasos y rara vez alcanzan grandes proporciones, en la mayoría de los casos es detectado como un hallazgo radiográfico” (5).

 

En este orden de ideas no se puede descartar un quiste menos frecuente pero que hace parte de los posibles diagnósticos diferenciales “El quiste odontogénico ortoqueratinizado (QOO) es una entidad reconocida desde 1981. Representa un grupo específico de quistes de origen ontogénico. En la actualidad se clasifica independientemente del quiste odontogénico queratoquístico. Es una lesión poco frecuente, asintomática, que por lo común se da en una edad promedio de 35.4 años; tiene predilección por el sexo masculino” (6) 

 

Con una prevalencia “se presenta con mayor frecuencia en la mandíbula, en la región de los molares y la rama mandibular. No está asociado al síndrome de Gorlin-Goltz. Sin embargo, se han reportado casos donde se ha evidenciado una transformación neoplásica en su capa epitelial. Radiográficamente, se observa imagen radiolúcida unilocular, no produce expansión de corticales óseas y por lo general está asociado con dientes impactados. Histológicamente, posee un epitelio ortoqueratinizado, un prominente estrato granuloso y células basales cúbicas con poca tendencia a tener núcleos polarizados” (7) Inmunohistoquímicamente, demuestra que posee poco potencial de proliferación y actividad celular, lo que explica su poca recurrencia después de la cirugía, por lo que se sugieren alternativas de tratamiento conservadoras.

 

Siguiendo el orden de los posibles diagnósticos presuntivos se define a continuación “el queratoquiste odontogénico es una lesión benigna de los maxilares de alta prevalencia y de naturaleza agresiva, que afecta principalmente a personas de la segunda, tercera y cuarta década de vida. El queratoquiste posee una mayor predilección por el sexo masculino en una proporción de 2: 1 y es más frecuente que se desarrolle en la mandíbula que en el maxilar. Generalmente esta lesión es asintomática, aunque en algunos casos suele haber dolor y expansión de las corticales óseas. Radiográficamente se presentan como radiolucencias uniloculares o multiloculares e histológicamente su característica principal es su revestimiento de epitelio escamoso estratificado paraqueratinizado.

 Esta lesión tiene una alta tasa de recurrencias que van desde el 5% hasta el 70% y a pesar de que se han realizado varios estudios sobre la mejor opción de tratamiento para evitar las reincidencias, todavía no se ha encontrado un procedimiento que sea estadísticamente mejor que otro. En el presente reporte se muestra un caso de queratoquiste odontogénico con sus características imagenológicas e histopatológicas, su tratamiento y el seguimiento tras un año posoperatorio” (8). 

 

Por último, en el orden de los diagnósticos presuntivos es el momento de hacer mención a “El ameloblastoma es un tumor odontogénico benigno de origen epitelial”. Es localmente agresivo con una capacidad de crecimiento ilimitada y tiene un alto potencial de transformación maligna y metástasis. El ameloblastoma no tiene medidas preventivas establecidas, aunque la mayoría de los pacientes tienen entre 30 y 60 años. 

 

Los factores moleculares y genétic os que promueven la transformación oncogénica del epitelio odontogénico a ameloblastoma están fuertemente vinculados a la desregulación de múltiples genes asociados con la proteína quinasa activada por mitógeno, hedgehog sónico y las vías de señalización de WNT / βcatenina. El tratamiento del ameloblastoma se centra en la resección quirúrgica con un amplio margen de tejido normal debido a su alta propensión a la invasión locorregional. Pero esto a menudo se asocia con una significativa morbilidad del paciente. La tasa de recurrencia relativamente alta del ameloblastoma está influenciada por el tipo de factores etiológicos moleculares, el enfoque de manejo y la precocidad del paciente para el tratamiento. Se espera que una mayor aclaración de los factores moleculares que orquestan la patogénesis y la recurrencia del ameloblastoma conducirá a nuevos marcadores de diagnóstico y terapias farmacológicas dirigidas para el ameloblastoma” (9). 

 

Sin embargo, en otros estudios Koseoglu y col. (27%) Daley y col. (Ces odontología) describen la Marsupialización como un proceso quirúrgico que “consiste en abrir ampliamente el quiste y exponerlo a la Cavidad bucal, el epitelio quístico que recubre la cavidad sufre una metaplasia y se convierte en epitelio de la cavidad bucal en unas semanas, está indicada en quistes de gran tamaño” (10).

 

En este sentido el otro proceso quirúrgico que está indicado en este tipo de lesiones es “La enucleación la cual consiste en enuclear o disecar por completo la bolsa quística procediéndose posteriormente a la sutura de la mucosa bucal. Dicha técnica se emplea en quistes de menor tamaño”(11); las técnicas y conceptos, anteriormente descritos, son asociados  a la clínica del paciente y los diferentes diagnósticos diferenciales que se podían presumir, por edad, sexo, evolución, ubicación. Esto son los datos que conllevan a tomar la decisión más idónea para el tratamiento   quirúrgico      del      paciente,       las limitantes existentes para el momento histórico del país Venezuela, dando respuesta lo más acertada posible a las expectativas del paciente.  

 

Parestesia detección y percepción anómala de estímulos, percibida como desagradable, aunque no suele ser dolorosa. Esta se puede encontrar aumentada o disminuida y puede o no afectar a los receptores del dolor y vibración. La clínica cursa con hormigueo, adormecimiento, quemazón o picor, tensión, sensación de frio o calor o molestia. (12) Este representa unos de los principales riesgos quirúrgicos en el paciente. 

 

Todas las lesiones antes descritas cursan con los       posibles         diagnósticos presuntivos asociados a la clínica del paciente, edad, sexo, prevalencia,            signos            y          síntomas, los tratamientos conservadores o no que se realizan acorde a la selección del caso, el riesgo quirúrgico que representa una posible fractura mandibular o lesión del nervio alveolar inferior, la realización de una biopsia incisional o excisional. Todos estos conceptos, tópicos y protocolos se deben revisar en la literatura para la mejor selección de tratamiento, tomando en cuenta las características del paciente.

 

MATERIALES Y MÉTODOS

La metodología empleada se enmarcó en el paradigma        positivista,     con     enfoque cuantitativo,  siendo un estudio de campodescriptivo,            no       experimental, diseño longitudinal y transversal. La  población y muestra fue 1 paciente, en la modalidad de estudio de caso clínico único. La técnica de recolección    de        datos la         entrevista,     el instrumento guión de las preguntas para la historia clínica, su validez está dada por su legalidad dada por la  MPPS.  Se trata de un paciente de 30 años de edad, masculino, fumador, con antecedentes de odontalgia, historia clínica, consentimiento informado, exámenes de laboratorio, radiografía panorámica normal, tomografía axial computarizada y fotografías clínicas.

 

Presentación de caso clínico:

-          Historia clínica: Paciente masculino de 30 años de edad, natural y procedente de san juan de los morros Edo. Guárico.

-          Motivo de consulta: acude a la consulta odontológica para Odontectomia de las Ud.18, 28, 38,48.

-          Enfermedad actual: hallazgo radiográfico ocasional , desde febrero (2014) en zona retromolar, mandibular derecha, al  examen físico se evidencia desgastes de los bordes incisales tanto superiores como inferiores, halitosis, caries y restauraciones defectuosas, refiere mal sabor que aparece y desaparece, sin dolor, a la tactación se evidencia expansión de la tabla lingual de la zona del 48, al examen radiográfico de tipo panorámica normal,  se evidencia imagen radiolúcida de bordes definidos que compromete el canal mandibular, de progresión lenta, se indica TAC, y exámenes de laboratorio.  

-          Antecedentes personales: refiere ser fumador, tener higado graso,irritacion de colon,  limitacion de la apertura local y ruidos articulares.

-          Examen físico: sin alteración.

-          Examen de laboratorio: leve aumento de serie blanca asociada a infección.

Diagnósticos:

-          Diagnóstico presuntivo: quiste ortoqueratinizante, queratoquiste, ameloblastoma, pericoronaritis.

-          Diagnóstico histopatológico: lesión inflamatoria mixta.

-          Diagnóstico definitivo: lesión inflamatoria mixta, asociada a pericoronaritis.

-          Pronóstico general: al estar  medicado con atorvastaina de 40mg diarios y dieta para la afección de hígado graso e inflamación de colon, reservado a nivel bucal ya que refiere ser fumador y esto influye en su correcta cicatrización.

-          Posibles complicaciones: fractura del Angulo de la mandíbula, parestesia, cicatrización lenta.

 

 

-          Examen imagienológico: de tipo tomografía axial computarizada.

 

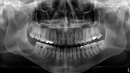
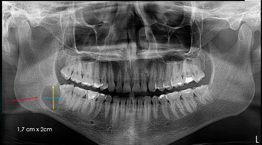
 Figura. 1. Ortopantomografía inicial, hallazgo ocasional. Fuente Palima (2016).

 

 

 

 

 

 

 

 

 

 

 

 

 

 

 

 

 

 

 

 

 

Componente hipodenso, con destrucción de la cortical superior de la hemimandibula derecha, ubicado en la Ud. 48, quedando las raíces del mismo sumadas a la lesión, tiene un diámetro de 2.5 x 2.2 x 1.3 cm y densidad del tejido solido de 66UH. Se plantea TU óseo  primario de hemimandibula, sin embargo no se descarta proceso infeccioso de tipo absceso de evolución crónica, y afectación del canal mandibular, asociado a la lesión.


 

 

 

Primera cita.

Se procede al llenado de historia clínica, revisión        clínica,           valoración     de ortopantomografia, dado el hallazgo, los signos y síntomas clínicos presentes se indica TAC, exámenes de laboratorio, toma de fotografías extra e intraorales, para el análisis y presentación del caso clínico. 

 

 

 

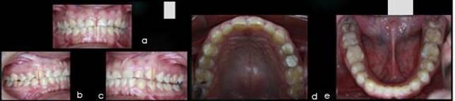
Figura 2. Fotos extrabucales (a) regla de los tercios (b) regla de los quintos (c) forma de la cara (d, g) perfil ¾ (e, f) perfil. Fuente Palima (2016).

 

La finalidad de este tipo de fotografía es ver simetría, forma y contorno de la cara.

 

 

 Figura 3. Fotos intrabucales, (a) frente para marcar la linea media (b, c) perfil derecho e izquierdo para marcar llave canina y relacion molar (d) oclusal superior (e) oclusal inferior. Fuente Palima(2016).

 

Las fotografias intrabucales son de gran ayuda para el diagnóstico de patologías en los pacientes son una herramienta útil y adicional que aporta informacion valiosa para el profesonal de la odontología, en este caso la cirugía bucal.

Cita 2.

Sse procede a evaluar y analizar ortopantomografia inicial, lo cual hace referencia a una lesion de 1,7 cm x 2cm aproximadamente ya que esto es referencial, evaluación de imágenes de TAC,  analisis de informe imagienológico,       exámenes     de laboratorio que arrojan leve aumento de la serie blanca asociada a infección, ya con todos estos datos clinicos e imagienológicos, se  procede a la discusión y planificacion quirúrgica en la que se decide su remocion  completa y no parcial, realizar estudio histopatológico esperando los resultados bajo conducta espectante si amerita un segundo tiempo quirúrgico.

 

Figura 4.  Ortopantomografia con medidas estimadas del tamaño de la lesión. Fuente Palima (2016).

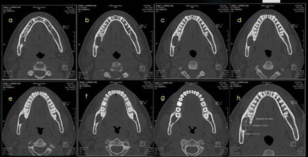
Figura 5. Imágenes de TAC, (a) se observa presencia de tabiques (b) ruptura de cortical (c) adelgazamiento de tabla lingual (d, e) ruptura de tabla lingual (f, g) presencia de tabiques óseos (h) medidas estimadas de la lesión 2.5 x 2.2 x 1.3 cm con densidad en tejido solido (66 UH).

 

Cita 3.

Consentimiento informado en el que se explica el procedimiento quirúrgico, los riesgos y posible complicaciones, paciente en un acto consiente acepta, firma y coloca huella de ambos pulgares. Se procede al acto quirúrgico propiamente dicho, se toma muestra para el estudio histopatológico y se  indica ortopantomografia control para la cita de control, retiro de sutura y evolución.

Se decide realizar la enucleación y exceresis de toda la lesión, donde la posible complicación es fractura del Angulo mandibular, posible lesión del nervio dentario inferior por pérdida del techo del canal mandibular  e inmediatamente se indica  realizar estudio histopatológico, biopsia exicional, a pesar de algunas sospechas de queratoquiste o de ameloblastoma, no se coloca ningún tipo de material de relleno, ni la solución de carnoy por no contar con la misma en el país esperando el resultado histopatologico el cual determinó: inflamación mixta severa se indica  control radiográfico para valoración y evolución de formación ósea. Dicho de otra manera, restitución del techo del canal mandibular y mapeo de la sensibilidad.


Figura 6. Aspecto clínico: acto quirúrgico (a) odontectomia propiamente dicha (b) fase 1 de enucleación (c) fase 2 enucleación (d) fase 3 enucleación y exeresis propiamente dicha lo cual representa la muestra histopatológica  fuente Palima (2016).

  

 

 

 

 

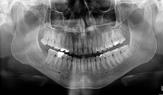
Figura 7 Ortopantomografía control luego de 8 días del acto quirúrgico Fuente Palima (2016).


Cita 4: 

Evaluación, valoración y control, manejo de la sensibilidad, mapeo, donde fue favorable la cicatrización del paciente ya que dejo el hábito del cigarro durante el postoperatorio, no hubo pérdida de la sensibilidad sino un leve aumento de la misma, imagienológicamente se logra observar una cavidad limpia sin restos y con formación ósea normal para los 8 días postquirúrgico.

 

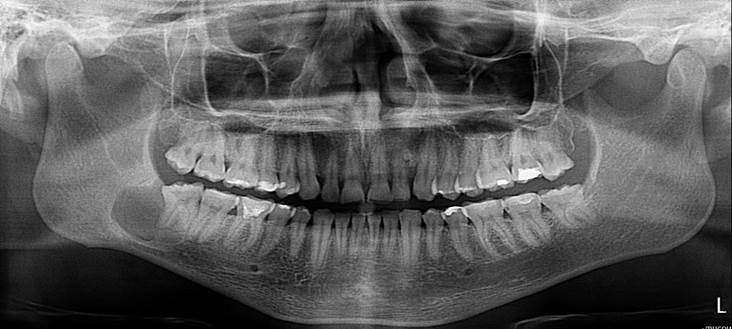
Figura 8. Ortopantomografía control, se puede observar la formación ósea y recuperación del techo del canal man dibular

Fuente Palima (2018).

 

CONCLUSIONES

Con respecto al objetivo 1 Diagnosticar la posible patología presente en Angulo y parte del cuerpo mandibular asociada a la ud: 48.después de la discusión multidisciplinario, el diagnóstico presuntivo por la edad, sexo, raza, genero conlleva a un posible queratoquiste o un ameloblastoma. Así mismo, siguiendo la secuencia del objetivo 2. Conocer la lesión patológica presente en Angulo y parte del cuerpo mandibular asociada a la ud: 48. De la mano de la clínica y el tiempo sin tratar la lesión se podía realizar en 2 tiempos quirúrgicos haciendo biopsia insicional, esperar resultados histopatológicos y hacer un segundo tiempo quirúrgico, ya con un diagnóstico definitivo. Por la data que presentaba la lesión se decide hacer en un mismo tiempo quirúrgico, removiendo toda la lesión, realizando odontectomía ud.48, enucleación, exeresis y muestra histopatológica total, con la limitantela situación del  país, que no se encontró solución de carno y la cual se indica para tratar este tipo de lesión y evitar recidiva.

De igual manera haciendo referencia al objetivo 3. Analizar estudio histopatológico del tejido circundante a la ud: 48; se llevó a cabo y el resultado fue lesión inflamatoria mixta, asociada a pericoronaritis de larga data. Esto hace un llamado a la comunidad científica y los profesionales de la salud bucal, periodoncias y cirujanos bucales, como una lesión de tipo común puede causar daño extenso del tejido óseo, llegando a dar falsos positivos, referentes a diferentes diagnósticos presuntivos, adicional se confirma que la última palabra la sigue teniendo el resultado histopatológico.

 Cabe resaltar dos aspectos importantes en el momento quirúrgico 1. En el cuidado de la tabla lingual, por su adelgazamiento e incluso perdida de continuidad, 2. La pérdida del techo del canal mandibular, donde se podía lesionar el nervio alveolar  inferior dando cualquiera de estas complicaciones, hipostesia, disestesia, parestesia de la hemiarcada mandibular derecha (13).

 

BIBLIOGRAFÍA

 

1.          Pérez-Salcedo    L.,       Bascones

Martínez A.Tumores benignos de la mucosa oral, RevVenezInvestOdont IADR 2015;[citado 15 julio 2016] 3 (1):58-64. Depósito Legal: PP 199902DF816ISSN: 2343-595X.

http://erevistas.saber.ula.ve/index.p

hp/rvio  

 

2.          Canto M. Pérez, y col. (2016) Quistes dentígeros asociados a terceros molares mandibulares retenidos en posición invertida.[citado 15 de julio 2016] Disponible     en  www.medigraphic.com. 

 

3.          Gabriel Jaime Atehortua, Carolina Jaramillo, Julián Andrés Lopera, María Vanessa Osorio, Pablo Emilio Correa. (2012) Queratoquiste odontogénico: Reporte de un caso clínico, seguimiento a 10 años.[citado 16 julio 2016]

                   Disponible                               en:

http://www.scielo.org.co/pdf/ceso/v 26n1/v26n1a09.pdf.

 

4.          Medrano Montero J, Ávila Ávila N. Presentación del tratamiento a un paciente con retención dentaria.

Correo Cient Méd Holguín [Internet]. 2009 [citado 19 Jul 2017]; 13(4): [aprox. 4 p.]. Disponible en: http://www.cocmed.sld.cu/no134/no 134presc1.htm.

 

5.          Sales MA, Cavalcanti MG. Complex odontoma associated with dentigerous cyst in maxillary sinus: case report and computed tomography features.

Dentomaxillofac Radiol [Internet].

2009 [citado agosto 2017] 38(1):48-

            52.           Disponible            en:

http://www.ncbi.nlm.nih.gov/pubme d/19114424.

 

6.          Alfredo      Calderón       Durán,y col.(2017)Quiste   odontogénico ortoqueratinizado.Revista Mexicana de Cirugía Bucal y

Maxilofacial (2017) [citado 15 julio 2016] 13 (2): 65-69Vol. 13, Núm. 2 • Mayo-Agosto 2017 • pp. 65-69 www.medigraphic.org.mx .

 

7.          Rodríguez Florez E, Arrascue Dulanto M, Moreno Villalobos D. Quiste dentígero asociado a tercer molar inferior sobreinfectado por actinomices. Reporte de caso. Rev Estomatol Herediana [Internet]. 2013 [citado 21 Feb 2017].

           Disponible                              en:

https://www.redalyc.org/pdf/4215/4

21539374007.pdf

 

 

8.          Barahona, C. P. A. (2020). El Queratoquiste           odontogénico: reporte de un caso. Odontología Activa Revista Científica, 5(2), 31-

36.disponible        en: http://oactiva.ucacue.edu.ec/index. php/oactiva/article/view/455  

 

9.          Effiom, O. A., Ogundana, O. M., Akinshipo, A. O., & Akintoye, S. O. (2018). Ameloblastoma: current etiopathological concepts and management. Oral diseases,[citado julio 2016] 24(3), 307-316. disponible       en:

https://onlinelibrary.wiley.com/doi/fu

ll/10.1111/odi.12646   

 

10.       Leonel Castillo, Manuel Molina Barreto, María de los Ángeles León, JenairYépez, Elsy Jerez; (2015). Marsupialización, enucleación de quiste dentígeros y regeneración ósea guiada. Castillo et al. caso clínico Marsupialización, enucleación de quiste dentígeros y regeneración ósea guiada. reporte de un caso.[citado 15 julio 2016]

disponible en revistas.saber.ula.ve 

 

11.       Cosme,     G.        (2003)            CIRUGIA BUCAL II 4ta edición, océano/ergon pp.444-445.

 

 

12.       Chiapasco, M. (2015) TACTICAS Y TECNICAS EN CIRUGIA ORAL, 3RA EDICION, AMOALCA pp206.

 

13.       acta Médica del Centro / Vol. 10 No.

                     1.                                         2016 

http://www.revactamedicacentro.sld

.cu