Abordaje de carcinoma epidermoide invasivo de células grandes queratinizantes en paciente masculino de 45 años de edad.
Reporte de un caso clínico

 

Approach of invasive spidermoid carcinoma of large keratinizing cells in a 45-year-old

male patient. Report of a clinical case

 

https://doi.org/10.47606/ACVEN/MV0258

 

Carlos Alberto Márquez Bogarin1         Carlos Eduardo González Jimenez1
https://orcid.org/0009-0000-6696-0459               https://orcid.org/0009-0001-7732-173X.

Mbcarlos71@gmail.com                  Carlosegjl6@gmail.com

Angie Paola Rosario Roa1               Zulay Margarita Palima Gonzalez2*
https://orcid.org/0009-0008-5510-1390            https://orcid.org/0000-0002-0959-987
Arosarioroa@gmail.com                 Zulaypalima@gmail.com

 

Recibido: 18/110/2024                                                                     Aceptado: 10/02/2024

 

RESUMEN

 

Introducción: El Carcinoma oral de células escamosas puede aparecer en cualquier parte de la cavidad bucal, estar atentos como clínicos a cualquier cambio que está presente es relevante para un diagnóstico y tratamiento a tiempo el Objetivo: Evaluar el abordaje clínico para el tratamiento del carcinoma epidermoide invasivo de células grandes queratinizante en paciente masculino de 45 años de edad Materiales y métodos: Trabajo de campo no experimental, de enfoque cuantitativo y nivel descriptivo.: Un (1) paciente adulto que acudió a consulta odontológica en el CPTIII Gran sabana presentando lesión maligna en la cavidad bucal Resultados: Diagnóstico Carcinoma epidermoide invasivo de células grandes queratinizante. El 60% de los odontólogos siguen protocolo de manejo para pacientes oncológicos.60% presentaron buen nivel de conocimiento sobre la alta incidencia del carcinoma epidermoide. El tabaquismo es el factor de riesgo predominante 40%. Leucoplasia, eritroplasia, lesiones labiales y lesiones exofiticas se consideraron lesiones premalignas en un 60%. La biopsia es el examen de elección para diagnóstico precoz de lesiones 60%. El tratamiento de elección resultó ser cirugía, radioterapia y quimioterapia en un 80%. Conclusión: El carcinoma epidermoide es el tipo de cáncer más frecuente en la cavidad bucal. La valoración de los tejidos blandos por el odontólogo es de vital importancia ya que se pueden diagnosticar precozmente lesiones malignas y aumentar el buen pronóstico y calidad de vida del paciente.

 

Palabras      clave:      Carcinoma     epidermoide,      Biopsia,      Diagnóstico      precoz,

Quimioterapia,tabaquismo, células escamosas.

__________

1.       Universidad Nor Oriental “Gran Mariscal de Ayacucho” – Venezuela 

2.       Universidad Nacional Experimental Rómulo Gallegos (UNERG)- Venezuela

        *     Autor de correspondencia: Zulaypalima@gmail.com

 

 

 

ABSTRACT

Introduction: Oral squamous cell carcinoma can appear in any part of the oral cavity, being attentive as clinicians to any change that is present is relevant for timely diagnosis and treatment. Objective: To evaluate the clinical approach for the treatment of invasive squamous cell carcinoma of large keratinizing cells in a 45-year-old male patient. Methodology: Non-experimental field work, with a quantitative approach and descriptive level. Materials and Method: One (1) adult patient who attended a dental consultation at the CPTIII Gran Sabana presenting with a malignant lesion in the oral cavity. Results: Diagnosis: Invasive keratinizing large cell squamous cell carcinoma. 60% of dentists follow management protocol for cancer patients. 60% presented a good level of knowledge about the high incidence of squamous cell carcinoma. Smoking is the predominant risk factor 40%. Leukoplakia, erythroplakia, labial lesions and exophytic lesions were considered premalignant lesions in 60%. Biopsy is the test of choice for early diagnosis of lesions 60%. The treatment of choice turned out to be surgery, radiotherapy and chemotherapy in 80%. Conclusion: Squamous cell carcinoma is the most common type of cancer in the oral cavity. The assessment of soft tissues by the dentist is of vital importance since malignant lesions can be diagnosed early and increase the patient's good prognosis and quality of life.  

 

Keywords: Squamous cell carcinoma, Biopsy, Early diagnosis, Chemotherapy, smoking, squamous cells.

 

INTRODUCCIÓN

La Organización Mundial de la Salud (OMS) durante su 74ª Asamblea Mundial de la Salud recomendó abandonar la visión curativa tradicional centrada en la enfermedad, y adoptar un enfoque preventivo que promueva la salud oral en entornos familiares, escolares y laborales, brindando una atención oportuna, integral e inclusiva 1. Este organismo recomienda la reducción de los factores de riesgo, el impulso del tamizaje para su detección temprana, mejorar el acceso al diagnóstico, promover el tratamiento adecuado y brindar cuidados continuos y paliativos a los pacientes oncológicos. Así mismo destaca la importancia de abordar las enfermedades no transmisibles, incluido el cáncer, como parte de los esfuerzos para lograr una salud bucodental óptima. El cáncer oral conlleva una alta morbimortalidad, discapacidad, limitaciones físicas, psicológicas, disfunción familiar y carga económica tanto para los individuos como para el sistema de salud nacional.La literatura expone que la neoplasia maligna más común de origen bucal es el Carcinoma Epidermoide, quien también se encuentra referido en la bibliografía disponible con diferentes nombres, tales como: Carcinoma Oral de Células Escamosas(COCE), Carcinoma Escamoso o Carcinoma Espino celular, el cual representa entreel 90% y 95% de los casos de cáncer en cavidad oral.2

Suele afectar en su mayoría a pacientes de sexo masculinos mayores de 40 años de edad. Su presentación clínica es variable y aunque es precedido por cambios visibles en la mucosa oral, el diagnostico suele realizarse de forma tardía. En consecuencia, 12 diferentes autores coinciden en que un diagnóstico precoz es de importancia clínica para mejorar el pronóstico del paciente y los resultados del tratamiento.3 

El Carcinoma oral de células escamosas puede aparecer en cualquier parte de la cavidad bucal, sin embargo, entre los sitios de localización con más tendencia a su aparición han sido señalados los siguientes: Lengua, piso de boca, mucosa yugal, encía alveolar, trígono retromolar y paladar duro. La etiología es multifactorial, siendo el tabaco y el consumo de alcohol los factores de riesgo más importantes, los cuales pueden llegar a aumentar el riesgo de aparición de carcinoma oral de células escamosas en un 50%, así mismo va en aumento la incidencia de factores vírales como el virus del papiloma humano en la etiopatogenia del cáncer bucal y en menor proporción los traumatismos crónicos producto de prótesis dentales mal adaptadas o restauraciones defectuosas. 2

El presente estudio se llevará a cabo en el Consultorio Popular Tipo 3 Gran Sabana, sector Core 8, en la ciudad de Puerto Ordaz, estado Bolívar, por lo que se desarrolla en un marco especifico en donde se realizará un reporte de caso clínico, que estudiará el abordaje del carcinoma epidermoide invasivo de células grandes queratinizante en un paciente masculino de 45 años de edad. Dicho estudio se realizó a través de la observación directa donde se recogieron datos de la evolución del paciente desde el hallazgo de la enfermedad, tratamiento y cuidados postoperatorios, en un tiempo comprendido entre mayo-septiembre del año 2024. 

Por lo que el propósito de esta investigación es: Evaluar las estrategias de abordaje clínico para el tratamiento del carcinoma epidermoide invasivo de células grandes queratinizante en paciente masculino de 45 años de edad atendido en el CPT3 Gran Sabana y Documentar el abordaje clínico para el tratamiento de carcinoma epidermoide invasivo de células grandes queratinizantes.

 

MATERIALES Y MÉTODOS

Es un trabajo de campo no experimental, de enfoque cuantitativo y nivel descriptivo. Según el diseño es un tipo de investigación de campo no experimental, ya que el investigador no tuvo una intervención directa sobre el objeto de estudio. 

Los datos se recogieron directamente de los sujetos de estudio sin que el investigador alterara las condiciones existentes; 4 Es de enfoque cuantitativo debido a que se trata de un “proceso que recolecta, analiza y vierte datos cuantitativos.”5Es descriptivo porque

“caracteriza un hecho especifico estableciendo su estructura o comportamiento”.6

Este estudio se realizó utilizando la técnica de observación directa no estructurada, encuesta a los odontólogos que laboran en el CPT3 Gran Sabana y análisis documental mediante los siguientes instrumentos de recolección de datos:

 

Técnica e Instrumento: Observación Directa; Diario de campo; Libreta de notas; Cámara fotográfica y de video; Computadora; Encuesta Escrita a los odontólogos CPT3 Gran Sabana; Cuestionario preguntas cerradas Análisis Documental; Revisión de fuentes bibliográficas primarias (libros, tesis); Fuentes bibliográficas secundarias (Revistas, Google Scholar).

 

Procedimiento: 1. Anamnesis al paciente, llenado de historia clínica completa y recolección de datos los cuales arrojaron los puntos necesarios para realizar esta investigación.  2. Observación directa mediante examen clínico de la cavidad bucal. 3. Toma de registro fotográfico. 4. Toma de biopsia. 5. Llenado de ficha de referencia al laboratorio anatomopatológico.6. Enviado de muestra al anatomopatólogo para su estudio histopatológico. 7. Interconsulta con otras especialidades. 8. Revisión bibliográfica de fuentes primarias y secundarias. 9. Estudio de informes de cada especialista en donde se especifican los diferentes hallazgos y diagnósticos del paciente. 10. Seguimiento del caso y de cada tratamiento realizado al paciente en donde se recogieron datos del tratamiento realizado, evolución del paciente. 11. Encuesta a los odontólogos para evaluar el objetivo número 3. Nivel de conocimiento de los odontólogos en el consultorio popular tipo 3 gran sabana en cuanto al manejo odontológico del paciente con carcinoma epidermoide. 12. Llenado de encuesta a cada odontólogo perteneciente al equipo de trabajo del Cpt3 Gran Sabana.13. Almacenamiento de datos utilizando una matriz de control computarizado en Microsoft office 2010.14. Creación de matriz de datos en Excel 2010, tabulación y análisis de datos.15. Análisis de los datos bibliográficos, informes médicos para sintetizar los resultados que se han obtenido en este caso.

 

RESULTADO

Caso clínico carcinoma epidermoide:  

Hombre de 45 años de edad acudió al servicio de odontología del consultorio popular tipo 3 Gran Sabana, parroquia Unare puerto Ordaz, Estado bolívar derivado del área de medicina general del CDI Gran sabana sector Core 8 parroquia Unare, Puerto Ordaz, estado Bolívar, en la fecha de 28/05/2024, refiriendo sintomatología dolorosa en Unidad Dentaria (UD) 35, desde inicios de mayo del 2024 con requerimiento de tratamiento de extracción simple de la UD 35. 

En cuanto a los antecedentes personales el paciente refiere haber notado la presencia de la lesión desde hace 6 meses aproximadamente, la cual al no ser dolorosa no le prestó la atención debida, por lo que solo asistió a consulta cuando presentó la sintomatología dolorosa del diente vinculado. Así mismo refiere ser fumador crónico de más de 10 años con el hábito de fumar 1 caja de cigarrillos diaria, exposición solar frecuente y prolongada debido a sus actividades laborales como albañil y por último refiere exposición a cancerígenos ambientales por laborar en una fábrica de bloques. (Figura 1)

 

Figura 1.  

Tabla de factores de riesgo presentados por el paciente.

 

 

 

Figura 2.

Se observa a nivel extraoral asimetría facial e inflamación a nivel postero inferior izquierdo.

 

A. Vista frontal              B. Vista lateral.

 

Figura 3.

Se observa al esión esión intraoral esión ulcerosa, eritematosa rodeada de lesiones exofiticas queratinizantes color blanquecino de consistencia indurada sospechosa de malignidad. B: Toma de muestra, biopsia excisional realizada por la Dra. Beatriz Acosta, jefa de servicio de odontología Cpt3 Gran Sabana y autores de esta investigación. Fecha 17/06/24. C: Excision total de la lesión con extensiones a bordes sanos.

 

 

                     

 

 

 

3ª                               3b                           3c

 

A nivel extraoral se observa inflamación en el lado postero inferior izquierdo a nivel del cuerpo de la mandíbula. (Figura 2). Al realizar la extracción se observa en la región del reborde alveolar postero inferior una lesión ulcerosa, eritematosa de aproximadamente 2,5 cm, lesiones exofiticas indoloras color blanquecino, de consistencia dura de aproximadamente 3cm. (Figura 3). Se procedió a la toma de muestra o biopsia excisional para la posterior remisión al anatomo patólogo y el debido estudio histopatológico.

(Figura 3b y 3c). 

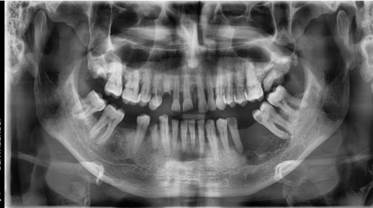
En el mismo orden de ideas se envía a realizar exámenes complementarios como: Analítica sanguínea, radiografía panorámica el 27/05/2024 y tomografía axial computarizada de cabeza y cuello el 17/06/2024. (Figura 7-8-9-10).

 

Figura 4.  

Ortopantomografia: Se evidencia imagen radiolucida en cuadrante III, con un diámetro aproximado de 3cm, bordes definidos y extensión limitada a espacio ausente entre OD 35 y OD 36.

 

 

 

Figura 5.  

Tomografía Axial Computarizada.

           

A: Corte Sagital                               B- C Corte Axial

 

Se evidencia en los cortes axiales evaluados, configuración normal con respecto a hueso frontal, musculatura sin alteración aparente, en zona mandíbular izquierda existe la evidencia de imagen que compromete la arcada dental inferior descrita como una lesión ocupante de espacio, produciendo aumento en zonas blandas.

 

Figura 6.  

Exámenes de Laboratorio

 

 

 

Figura 7  

Informe radiológico-TAC.

 

 

 

El informe histopatológico de la muestra de biopsia enviada arrojó lossiguientes resultados. (Figura 6) Descripción macroscópica: Se reciben fijados en formalina al 10% y referidos como biopsia de tumoración de cavidad bucal, una muestra constituida por 2 fragmentos de tejido, el mayor mide 2,4 x 1,5 cm, color blanco grisáceo, opacos, consistencia blanda. Se incluyen en su totalidad para estudio histológico.

 

Figura 8.  

Informe histopatológico

 

 

 

 

 

 

 

 

 

Diagnóstico Histológico: Biopsia de tumoración de cavidad bucal. Carcinoma de células escamosas moderadamente diferenciado, invasivo, ulcerado. (Carcinoma epidermoide invasivo de células grandes queratinizante).

Descripción microscópica: Las diversas secciones histológicas, muestran cortes seriados de fragmentos de tejido con lesión tumoral maligna de estirpe epitelial, constituida por nidos y cordones de células escamosas con citoplasma eosinofilico, macricariosis, hipercromatismo nuclear y mitosis atípicas. Áreas de necrosis, hemorragia reciente e invasión vascular angiolinfatica. Una vez recibido el informe histológico el 17/06/2024, se confirma el diagnóstico de la tumoración de cavidad bucal como: Carcinoma de células escamosas moderadamente diferenciado, invasivo, ulcerado. (Carcinoma epidermoide invasivo de células grandes queratinizante). Se deriva al hospital Uyapar de Pto Ordaz, estado Bolívar, en el servicio de oncología, siendo su médico tratante el especialista en oncología Dr. José Alberto García, quien realizó un plan de tratamiento consistente en 8 sesiones de quimioterapia en intervalos de 21 días entre cada una, iniciando la primera sesión el 15/08/2024 con respuesta favorable del paciente, la segunda sesión se realizó el 19/09/2024. A la fecha del 12/09/2024 el paciente ha respondido de manera positiva al tratamiento cumpliendo con todas las indicaciones del médico tratante y observándose en el control realizado en el servicio de odontología, una notable mejoría en la zona de la tumoración. Lo que confirma lo enunciado por los diversos autores de la materia de patología bucal quienes subrayan que el diagnóstico precoz es indispensable para el buen pronóstico del paciente.

 

DISCUSIÓN  

De todos los factores que se cree están involucrados en la etiología del cáncer bucal, el más relacionado a este caso clínico y por lo tanto el que cobra más importancia es el consumo de tabaco. Todas las formas de tabaquismo, incluido también el consumo de tabaco no fumado, se han implicado sólidamente en el origen del cáncer bucal. El trabajo del equipo multidisciplinario para el manejo del paciente con carcinoma epidermoide es muy importante, pues requiere de un grupo de profesionales que intervienen en la toma de decisiones para el diagnóstico, tratamiento, seguimiento y rehabilitación. 

Dentro de este equipo se encuentran cirujanos de cabeza y cuello, cirujanos maxilofaciales, oncólogos, estomatólogos entre otros. Para la mayoría de los cánceres de la cavidad oral, la cirugía es el tratamiento de elección inicial. Después de la operación se añade radioterapia o quimioterapia si la enfermedad está más avanzada o sus características histológicas son de alto riesgo. El pronóstico en este caso es favorable debido principalmente al diagnóstico precoz realizado por los odontólogos en el CPTIII Gran Sabana lo que llevo a una atención medica rápida que ayudó a la extracción de la lesión maligna antes que se produjera.

 

Figura 12.  

Fechas del protocolo de abordaje del caso.

 

 

CONCLUSIONES

1.      El carcinoma epidermoide o carcinoma de células escamosas es el tipo de cáncer más frecuente en la cavidad bucal, 90% de los casos.

2.      El tabaquismo es el factor de riesgo más predominante en este caso clínico, acompañado del consumo de alcohol, exposición crónica a radiación solar y ambientes contaminantes.

3.      Otros factores de riesgo para la aparición de carcinoma epidermoide nombrados en la literatura son las infecciones por virus como el Virus del papiloma humano, traumatismos crónicos por prótesis mal adaptadas o restauraciones defectuosas.

4.      La valoración de los tejidos blandos es de vital importancia en el examen clínico odontológico en ella podemos encontrar lesiones potencialmente malignas que diagnosticadas a tiempo pueden resolverse y así evitar la instauración de un carcinoma, como es el caso de la leucoplasia, eritroplasia, ulceras no cicatrizantes, queilitis actínicas, lesiones exofiticas verrugosas y lesiones queratinizantes.

5.      El nivel de conocimiento de los odontólogos del CPT3 Gran sabana es alto, destacan la importancia de la valoración previa, la promoción de la salud, prevención y educación al paciente, la necesidad de protocolos de atención primaria, así mismo están conscientes del valioso papel que juega el odontólogo como profesional perteneciente al equipo multidisciplinario de salud del paciente oncológico.

6.      El odontólogo es el profesional clave en el diagnóstico precoz de carcinomas orales, formando parte del equipo multidisciplinario que aborda el tratamiento de los pacientes oncológicos, contribuyendo a diagnosticar precozmente las lesiones malignas, favoreciendo así su pronóstico y acompañando al paciente en su proceso antes, durante y después de los tratamientos anticancerosos, contrarrestando los efectos colaterales de los mismos.

 

RECOMENDACIONES  

1.      Se recomienda a la comunidad odontológica brindar instrucción a los pacientes sobre la autoexploración de su boca para descartar signos de desarrollo de tejidos blandos anormales.

2.      Se recomienda la realización de jornadas de descarte de cáncer oral en los centros de salud públicos.

3.      El odontólogo debe ser el responsable de instruir al paciente con cáncer bucal acerca de lo que debe esperar del tratamiento y la forma de enfrentar los efectos colaterales.

4.      Se recomienda instaurar un protocolo de valoración extra e intraoral antes de realizar tratamientos odontológicos con la finalidad de fomentar el diagnóstico precoz de cualquier anomalía presente en los tejidos.

5.      Se insta a los odontólogos generales a crear una red de apoyo con diferentes especialistas para derivar a los pacientes que presenten casos positivos a carcinomas, de esta manera crear equipos multidisciplinarios de atención.

6.      El odontólogo debe atender de manera óptima al paciente antes, durante y después de ser sometidos a tratamientos contra el cáncer, así mismo debe hacer seguimientos de la evolución de sus pacientes.

7.      Se insta a la comunidad odontológica a realizar campañas educativas para la comunidad acerca del peligro de los factores de riesgo del cáncer oral.

8.      Se recomienda a los directivos regionales de salud pública la realización de jornadas de actualización al personal que labora en los centros de atención primaria de salud para potenciar el nivel de conocimiento de los profesionalesque prestan servicios en dichos centros. 

 

REFERENCIAS  

1.                  World Health Organization (WHO). Oral health [Internet]. 2022 [cited 2025 Mar 7]. Available from: https://www.who.int/es/news-room/fact-sheets/detail/oral-health.

2.       Navarro N. El carcinoma oral de células escamosas (COCE) es la patología oral maligna.

3rd ed. Elsevier; 2021.

3.       Neville D, Allen C. Oral and maxillofacial pathology. 4th ed. Elsevier; 2016.

4.       Pineda DD. Metodología de la investigación, manual para el desarrollo de personal de salud. 2nd ed. Organización Panamericana de la Salud; 1994.

5.       Daher DD. Características epidemiológicas de casos de cáncer de boca registrados en hospital de Uberaba no período 1999-2003. Rev Bras Cancerol. 2008;11(4):584-96.

6.       Arias FG. El proyecto de investigación. Introducción a la metodología científica. 6th ed.

Ex Editorial Episteme; 2000.

7.       DeLong L. Patología oral y general en odontología. 2nd ed. Wolters Kluwer Health; 2013. 8. Marx RE. Oral and maxillofacial pathology: A rationale for diagnosis and treatment. Vol.

I. 2nd ed. Quintessence; 2012.

9. Gallardo JMP. Reconstrucción mandibular mediante colgajo miocutáneo de pectoral mayor en carcinoma epidermoide, reporte de caso clínico y revisión de la literatura. Rev Estomatol Herediana. 2022 Jan-Mar;32(1):79-88. doi: 10.20453/reh.v32i1.4187.